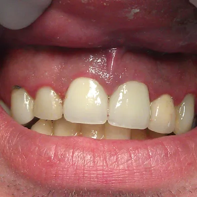
Explore how Artistic Dentistry has transformed smiles and lives in our Before/After Smile Gallery. Dr. Amir Nikraz, DDS, and his team take pride in providing exceptional dental care, utilizing the latest technology and methods to ensure every patient leaves with a smile they’re proud to show off. See the stunning transformations that have been achieved at our practice located in sunny Southern California.
For more information or to schedule your transformation consultation, contact Artistic Dentistry at 949-366-1177.